
Not everyone knows what arthrosis is, because of this, people are confusing in treatment methods and do not understand the principles of pathology diagnosis.Arthrosis is a severe dystrophic violation that causes cartilage tissues in the intraarticular cavity.The complexity of therapy is associated with the irreversibility of processes, a complete cure in the structure of modern medicine cannot be achieved, but the severity of symptoms can be reduced and the progression of the pathology can slow down.With proper treatment, a person continues the usual lifestyle for a long time.
What is arthrosis?
Likewise, it is simpler than for the arthrosis of the disease is a disease of the joints that causes the restriction of the amplitude of motion and pain.In the first stage of damage, there are no manifestations, have a small severity and washed.Gradually, the pathology progresses, this is facilitated by age -related changes in the body, stress, injuries, etc.According to statistics, about 80% of the population with over 60 years of arthrosis.
Articulation arthrosis develops for a long time, initially affects only hyaline cartilage, then spreads to bones, involves the synovial shell, the muscles and the entire joint capsule.In the first or early stage of arthrosis, the lesion manifests slightly: small pain after hard work, swelling, redness of the skin.Due to the ignoring uncomfortable sensations, the joint is deformed, inflamed, brings intense pain, its peak falls in the morning.The disease is characterized by the disappearance of pain after the development of the joint.If not treated, a person completely loses the mobility of the joint.

There is a primary and secondary form of arthrosis.Pseudo-artrosis (neoarthrosis) is also distinguished- many people do not know what it is, as it is formed less frequently than other varieties.Neoarthrosis is a false articulation;Therefore, the cartilage fabric increases in an unusual place where the damage was obtained.It is difficult to treat, especially surgically.
There is a pathology due to disorders of regenerative function, immunity or mechanical damage.Due to various causes of cartilage, it becomes thinner.In normal state, cartilage tissue receives sufficient nutrition for recovery, but after excessive physical exertion or due to a violation of metabolic processes, tissues do not have time to regenerate.In the first stage, joint mobility remains.Having considered what arthrosis is as a definition, it is worth deepening in more detail for the development of pathology.
The mechanism of arthrosis development, its types
Many varieties of arthrosis develop according to a similar scheme:
- Primary injury affects hyaline cartilage.In case of circulatory disorders, pathological deterioration of power occurs.It is the first step or cause, which may occur arthrosis.
- Hyaline coating pathologies.Cartilage thinning leads to replacement of its pathological tissues - bone structures.
- Anomalous growths appear in cartilage - osteophytes.
- The violation that emerged from the natural anatomy of cartilage and bones causes the overload of healthy areas of the cartilage.The destruction of untreated joint tissues is constantly progressing and leads to incapacity.
When the degree of disease increases, pathological processes are still aggravated.In the end, all Hyalin's cartilage is destroyed.
The last degree of the disease leads to:
- involvement in the pathological process of bones, under and above the cartilaginous surfaces;
- Irritation of a joint shell, limiting mobility, which leads to the inability of 2 degrees;
- Increased capsule density;
- Reducing the gap in the joint gap, which becomes noticeable in the image.The violation stage is determined by the diagnosis-tanthenologist.The patient feels the complexity or inability to completely straighten and double the limb;
- Articular deformation, the cartilage acquires an irregular shape, causing curvature;
- Deterioration in the patient condition with complete destruction of the joint.
Arthrosis stages
Joint disease has 3 development stages:

- 1 degree.Morphological disorders have already begun, but are not yet noticeable.Pathology mainly affects the condition of synovial fluid, which worse provides cartilage tissues with nutrient components, reducing cartilage force.The load in the joints causes inflammation and pain.
- Step 2. Due to supply deficiency, the necessary cartridges are destroyed, bone growths are formed on the surface of the cartilage.The pain acquires a more pronounced character, intensify after a long rest, are eliminated by a small physical work.The pain is accompanied by inflammation.The muscles are stretched, which leads to motor functions with weak or medium deficiency.
- 3 degrees.Often, there is pain, it is difficult to move the limb due to changes in the joint.The lesions are extensive, become noticeable to the naked look.The deformation of the joint site occurs, the affected area swell and turns red.The limb axis is disturbed, which leads to the complexity of movement.Pathological changes cause ligament shortening.Subluta and contractures appear.Adjacent muscles are reduced or stretched, of which the contractive function is weakened.
Causes and risk factors for the development of arthrosis
The causes of joint arthrosis differ depending on the form of pathology.Deforming arthrosis of elbow joint, ankle articulation and shoulder arthrosis sometimes develop without noticeable causes, it is possible to detect them with a doctor, a rheumatology specialist.If the problem has not been preceded by visible pathologies, the disease is called primary.The secondary form of violation is mainly diagnosed, can cause several states.
The main reasons for development:
- Mechanical damage: displacements, fractures, stretching, meniscus lesions;
- Several endocrine disorders associated with malfunction in immunity work;
- Metabolism pathologies;
- Dysplasia (congenital anomalies of joint tissues);
- suffered inflammation of the joints;
- Pathologies that lead to high mobility of joints and weakening of ligaments.
Patients with arthrosis more often found a disease due to predisposing factors:
- Age -related changes;
- Lightweight and increased BMI.High load in the joint leads to rapid wear of the joint;
- lack of beneficial substances;
- Excessive load in the joints.The reason is intense training, sports, hard physical work;
- difficult working conditions or an incorrect approach to the sport.If there is a history of genetic trend to damage, joint injuries or similar diseases, it is important to adhere to a special training program, avoiding traumatic and difficult exercises;
- The post -operative period of recovery or complex operations transmitted associated with the excision of a large portion of the affected tissues.Such states negatively affect the softness and strength of the cartilage, the load should be minimized in them;
- Genetic trend, arthrosis is most often diagnosed in patients with relatives with the same pathology;
- The post -feedback stage occurs in women for about 50 years, is associated with changes in the endocrine system;
- the destructive effect of toxins;
- Low environmental situation in the residence region;
- Frequent articulation damage, sometimes microcracy does not appear for a long time;
- hypothermia;
- Lumbar and cervical pathology of the spine.
Primary arthrosis

Primary arthrosis is formed independently, that is, without the influence of any internal or external cause.The defeat develops through the Hyalin cartilage very slowly.It is rarely diagnosed, it represents only 3-5% of all cases.
Secondary arthrosis
Secondary arthrosis is most often detected by an order of 95 to 96% of cases.They are caused by any of the pathologies above.
Signs and symptoms of arthrosis
The manifestations of the disease differ little, depending on the location, more often the signs are reflected in the knees, shoulder joints and hip due to high load.
Mainly complaints come down to:
- pain.They have low severity in the early stage, with intensified sensation state.Initially, the joints hurt only after waking up, after a light and hot, the sensations disappear.Over time, the pains appear at night, they disturb a lot during and after the prolonged walk, running, etc.In the last stage, pain syndrome chases a person all the time;
- Limited breadth of movements.The rigidity of actions indicates anatomical changes in the structure.At first it manifests itself in the morning and daily movements are limited.In order not to provoke the condition of the condition, the work should be diverse and light, otherwise the patient will not be able to release and squeeze the limb over time.Over time, there is a risk of hiring, of which a person loses motor capacity;
- Crown during the movements - belongs to the non -specific manifestations of arthrosis.The disease is characterized by the occurrence of crispness in a single articulation (except polyarthrosis), accompanied by discomfort, pain and limited actions.The nature of the current is similar to wave - at first manifests itself weakly, gradually intensifies, but in 3 steps disappears;
- swelling with redness.It is located near the sick joint, this indicates an inflammatory process and a disease progression.The doctor understands that the synovial shell is affected, this causes fluid accumulation and increased pain;
Members of the members.It appears in a neglected form of the disease, indicates the complete destruction of the cartilage tissue and the appearance of osteophytes.In this state, the pressure in the joints at the top and below increases, from which the curvature can affect the entire limb.
It is important to remember that the deformation of bones in the leg is often confused with corn.The symptom is unhappy only at first glance, but leads to serious consequences.
Complications
Initially, conservative therapy methods are used for treatment.If they are ineffective or the patient has ignored the doctor's recommendations, there is a risk of consequences.
Possible complications:
- The articulation is completely destroyed;
- The limb is immobilized, any movements become extremely difficult;
- intervertebral hernias;
- inability;
- Strong deformation of the joint or the entire limb.
Diagnosis of Arthrosis
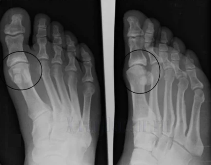
To make a diagnosis, rheumatologists study the patient's complaints and prescribe an X -ray exam. Most of the time, radiography is used in 2 projections.The doctor analyzes the presence of dystrophic disorders in hyaline cartilage and bone joints.If the joint gap is reduced, bones will be deformed or flat, there are cystic formations on the cartilage surface, osteophytes are obvious signs of arthrosis.During inspection, arthrosis indicates the instability of the joint: the limb axis and subluxation is disturbed.

Often an x -ray image is not able to provide complete information about the condition of the joint.For a more complete study, computed tomography is prescribed, effective for examining bones.Magnetic resonance imaging is most often used to study soft tissues.
During the diagnosis, the involvement of other experts will help to determine the root cause of the pathology.Often it resorts to the consultation of a hematologist, endocrinologist, gynecologist, orthopedics.
Modern treatment
There are hundreds of arthrosis therapy ways, but they all boil down to various methods:
- Drug treatment.The main task is to combat symptoms and prevent the additional development of a violation.Most of the time, painkillers are used to relieve pain, non -steroid anti -inflammatory drugs to combat inflammation, hormonal drugs are prescribed for intense pain and acute inflammation.Each course is based on chondroprotectors that protect tissues from the destruction cartilage, natural substances are used for their manufacture;
- physiotherapy.Increases the effectiveness of medicines, struggles with inflammation, relieves symptoms, accelerates tissue regeneration.More often used ultrasonic, electrical, magnetic and laser therapy.This also includes mud baths, natural material applications, radon baths;
- Medical Physical Education.It is useful as prevention and facilitate the condition.After correct exercise, it is possible to completely eliminate pain.It is useful to visit the pool, get involved in yoga and often walk;
- Manual therapy, massage will help in treating the disease as they contribute to the prevention of joint curvature.After injuries, the manual therapist is able to level the joint, preventing it in the wrong position.After massage, muscle tone is improved, blood circulation is accelerated;
- Proper nutrition.A healthy diet will help enrich the body with cartilage nutrients and reduce body weight.A large mass increases joint wear;
- Sanatory resort treatment will strengthen the joints.In the healing structure, sanatoriums are offered balneotherapy, exercise therapy, physical therapy procedures, etc.;
- Non -traditional therapy.For the treatment of arthrosis, cabins, native medicine, drowned and eral, as well as acupuncture and various folk recipes;
- Surgical intervention is the only way to return to usual life in the third stage of the disease.Endoprostrate allows you to replace the patient's cartilage with the implant.The only disadvantage of the operation is the high cost.A procedure is sufficient for 15 to 20 years.
Preventive measures
So that arthrosis of the joint does not worry about old age, it remains:
- Maintain a healthy lifestyle;
- Prevent strong loads;
- Observe a diet;
- exclude bad habits;
- Perform gymnastics daily;
- Follow the weight.
Arthrosis is a dangerous disease that is much easier to prevent than cure.With the opportune search of a doctor and the compliance with the treatment rules, the patient may maintain a family lifestyle for a long time.Lack of therapy and self -mate causes rapid aggravation of the disease and, finally, the deficiency.























